





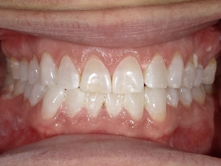
This patient debated getting veneers for a long time. Although her teeth weren't bad to begin with, she is still glad she moved forward with treatment. We began with a teeth whitening treatment and then placed the upper, front 4 veneers. We are very pleased with the outcome and the patient loves her enhanced smile!

Ready to book your next dental visit or learn more about our services?
Getting in touch with Vaccaro Aesthetic and Family Dentistry is quick and easy. Our friendly team is here to help with scheduling, answering questions about treatments, and addressing any concerns. Whether by phone or our convenient online form, we make connecting with us easy. Take the first step toward a healthier, more confident smile—contact us today and experience personalized dental care that truly makes a difference.