





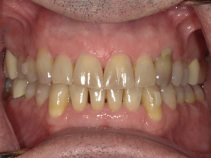
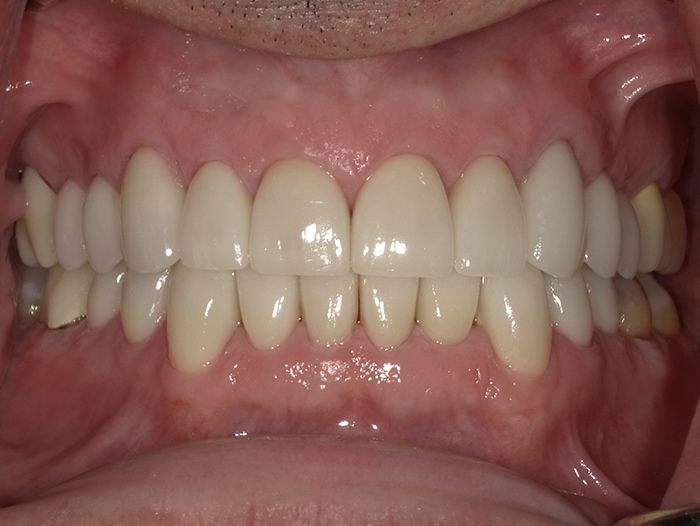
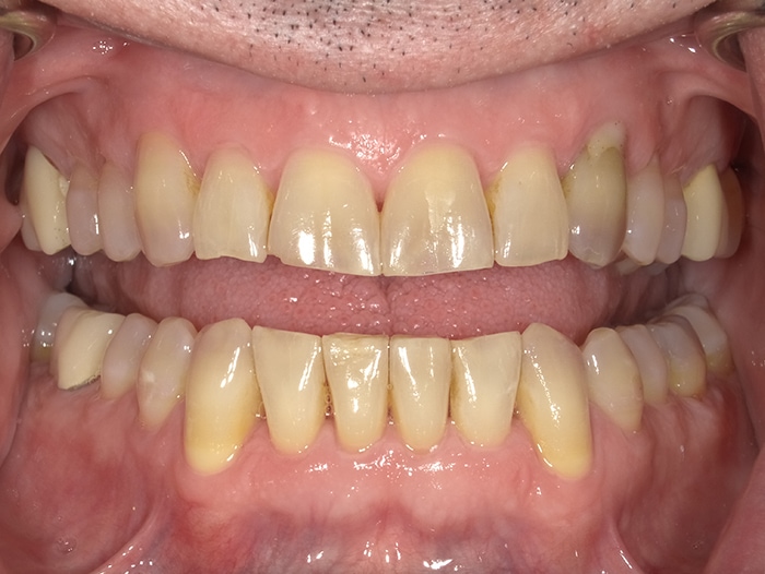
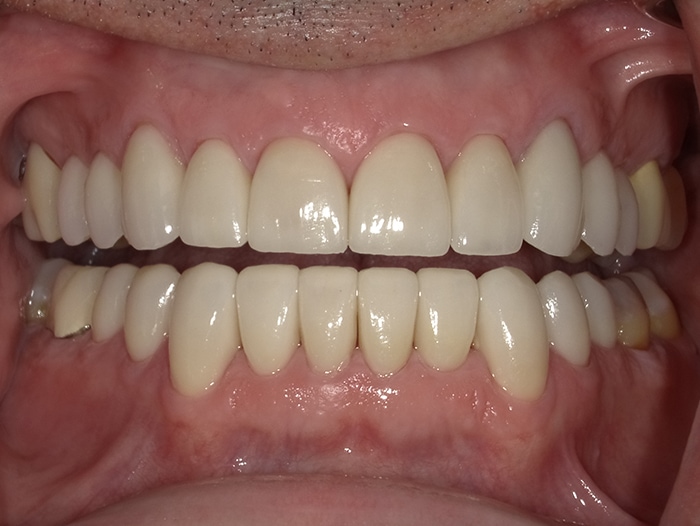
This patient wanted to make his smile look brighter and more in line. We first started his treatment with orthodontics SureSmile® clear teeth aligner therapy. We then completed the upper 10 teeth with a combination of veneers and crowns. His lower teeth were completed a few weeks after his uppers were cemented. He is really happy with his new smile and we couldn't be any prouder of our work!

Ready to book your next dental visit or learn more about our services?
Getting in touch with Vaccaro Aesthetic and Family Dentistry is quick and easy. Our friendly team is here to help with scheduling, answering questions about treatments, and addressing any concerns. Whether by phone or our convenient online form, we make connecting with us easy. Take the first step toward a healthier, more confident smile—contact us today and experience personalized dental care that truly makes a difference.